
Fersensporn - Ursache und Behandlung

Symptome Fersensporn
Anfangs waren es noch „Anlaufschwierigkeiten“ unter deinem Fuss. Die Beschwerden aber wurden immer stärker und wo anfangs die Beschwerden noch verschwanden wird es immer Konstanter und Schmerzhafter. Die typischen Symptome eines Fersensporns sind die Beschwerden unter deinen Fersen an der Fusssohle. Um ganz genau zu sein, am Übergang zwischen der Sehnenplatte (Plantaris Sehne) und Fersenbein (Calcaneus)
Ursachen Fersensporn
Man vermutet das die Ursache eines Fersensporns in einer Überbelastung der Sehne liegt, u.a. verursacht auf Grund von Übergewicht, einen Job wo man lange stehen muss, Änderungen der Anatomie deines Fussgelenks (u.a. abgeflachtes Fussgewölbe).
Wenn die Sehne ständig Belastet wird kann dies zu Micro Rissen in dem Übergang zwischen Sehnenplatte und Knochen führen. Dein Körper reagiert auf diese kleinen Micro Risse mit Kalkablagerungen. Im Verlauf der Zeit wird dieser Sporn immer grösser und grösser und die Beschwerden steigen.
Diagnose Fersensporn
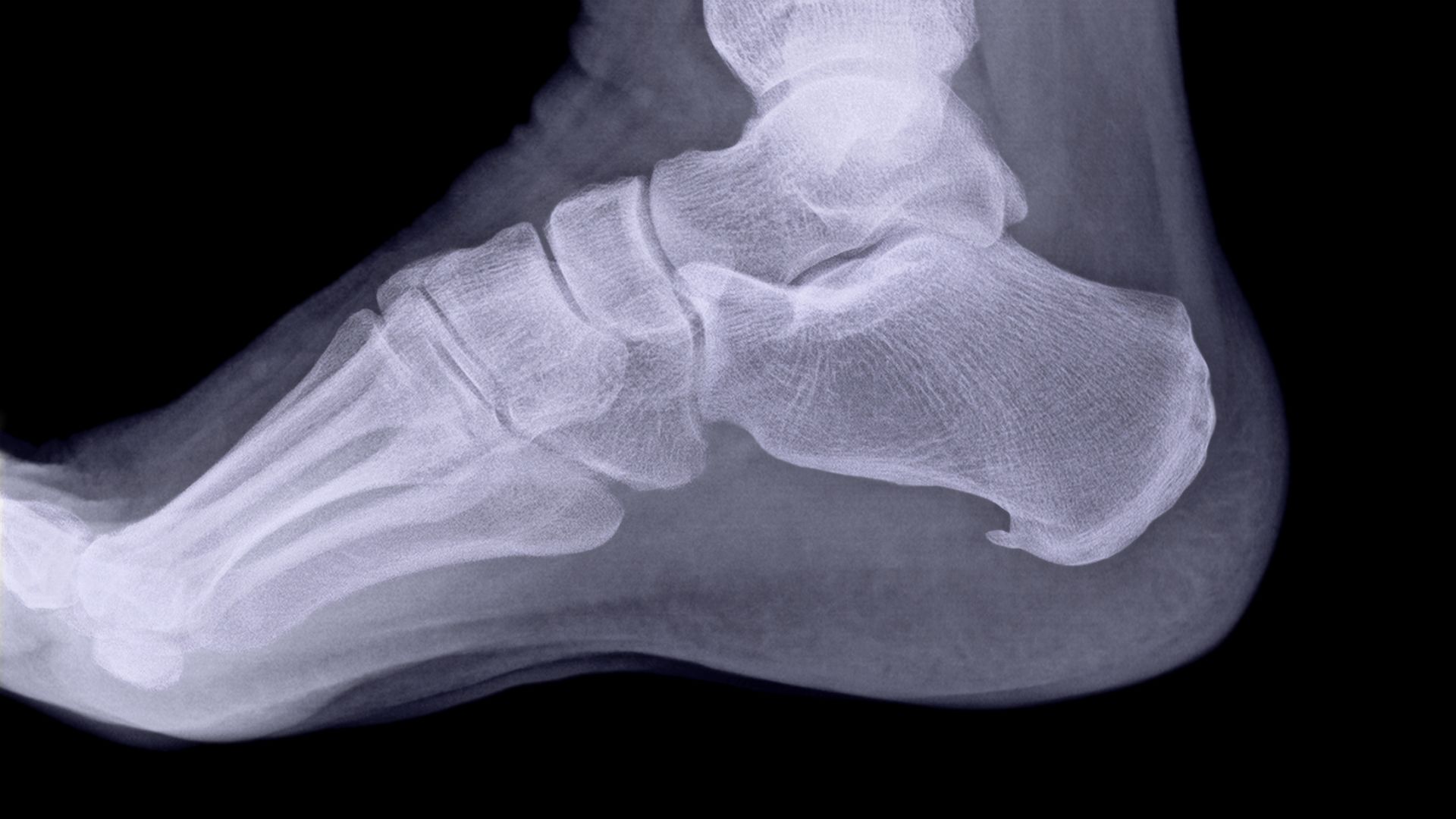
Die Diagnose ist relativ einfach zu Stellen. In den meisten Fällen reicht es schon wenn ein Patient seine Beschwerden beschreibt. Daneben ist die Stelle Druckempfindlich, sicher im Vergleich zum anderen Bein. Um 100% sicher zu sein kannst du mittels eines Röntgenbildes beim Arzt eine vollständige Diagnose bekommen. Auf dem Bild sieht man dann einen Sporn.
Behandlung Fersensporn
Die Physiotherapeutische Behandlung die ich meistens durchführe besteht aus:

Bild: Stosswellentherapie in Medical Training Center Emmenbrücke
- Dehnungen Sehnenplatte. Oft gebe ich meinen Patienten einen Golfball mit. Mit diesem kann man sehr gut die gesamte Sehnenplatte bewirken.
- Exzentrisches Training Plantaris Sehne!
- Hoch dosierte Ultraschall und/oder Stosswellentherapie
- Stossdämpfende Schuhe mit Entlastung der Sehnenplatte.
- Trigger Point Techniken an Waden, Gesäss und unter Rückenmuskulatur
Neben den Physiotherapeutischen Massnahmen kann es sein, dass der Arzt in äusserst hartnäckigen Fällen für einen Injektion mittels Kortison entscheidet. Operative Eingriffe werden heutzutage eigentlich nicht mehr durchgeführt.
Wichtig zu wissen ist, dass sich die Beschwerden sich im Laufe der Zeit von alleine lösen werden. Der Frage ist nur, kannst du solange darauf warten?
Mein Tipp ist dann auch, wenn du die ersten Symptome bekommst, warte einfach nicht zu lange ab, weil je grösser die Kalbablagerung ist, desto schwieriger wird es, diese schnell zu beheben.
Lese auch:
Sprunggelenk Verletzung - Supinationstrauma was zu tun?!
Das umknicken im Sprunggelenk (Supinationstrauma) ist die häufigste Sportverletzung. Sicher bei Ballsportarten aber auch beim Bergwandern oder jogging kommen diese Verletzungen oft vor. In diesem Blogbeitrag erzähle ich dir mehr darüber.


Anfänger heute – Gewinner morgen
Blog abonnieren
Sie wollen nichts mehr verpassen? Dann melden Sie sich jetzt für unseren Blog an. Um Immer up-to-date zu sein!
